Midwest BioHealth
Your Ceramic Implant Specialists
Dr. John Johnson, DDS is a certified expert in Swiss Dental Solutions ceramic implants, having traveled to Switzerland to train directly with Dr. Volz, the innovator behind the system. These advanced ceramic implants offer a biocompatible, metal-free alternative to traditional titanium, with current survival rates that match those of titanium implants. As ceramic technology continues to evolve and gain traction, Dr. Johnson believes ongoing research will demonstrate even greater longevity and success—positioning ceramic implants as the future of holistic, health-conscious dentistry.
Midwest BioHealth is Your Choice.
Ceramic implants from SDS
Big bright crown is a failing root canal ( see arrow)
Failing root canal highlighted by red arrow
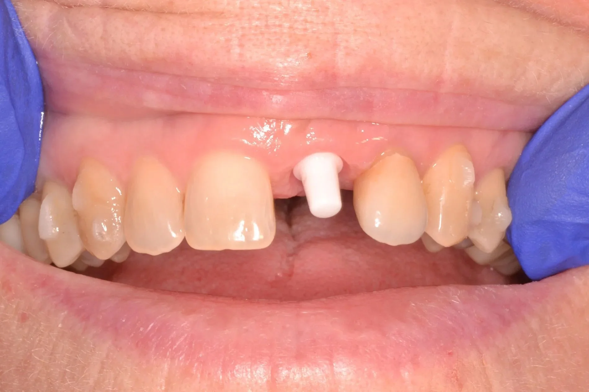
Notice the excellent healing of the gums around the implant. While Implant was healing, the patient wore Invisalign Orthodontic trays to straighten teeth.
All silver mercury fillings have been replaced with all-ceramic crowns plus ceramic fused to metal crown on lateral incisor has been changed to a all-ceramic crown. The patient has her goals achieved: She is now Mercury filling-free, metal-free and root canal free.
Final result is a great smile worn with confidence.
SDS - Swiss Dental Solutions Ceramic Implants
SDS ceramic implants: conceived and developed in the dental practice - thereby offering patients excellent aesthetics, stability, precision, osseointegration and health. Combined with state-of-the-art surfaces, the Dynamic Thread implant design makes the ideal solution possible for all bone classes.
Strictly metal-free, SDS implants stand for the highest level of biocompatibility. The zirconia SDS uses, is the material of choice for biological and immunological implantology.
Ceramic Implant Experts.
Dr. Johnson is an expert in zirconia SDS ceramic implants.
Opportunity to replace a dead tooth with a healthier long-term solution.
Ceramic implants do not affect the immune system.
Ceramic implants ensure the best aesthetic appearance.
Mechanically stronger than titanium.
No toxins.
Improved function of the ceramic crown.
Benefits of Choosing the SDS Systems
The survival rate is comparable to that of titanium implants, and as more ceramic implants are placed, Dr. Johnson believes that research will show better survival rates compared to titanium.
Secure osseointegration thanks to the hydrophilic SLM® surface.
Implant and abutment can be prepped.
Higher material strength than titanium.
Less plaque, better gum attachment.
Not electrically conductive, no galvanic elements, no currents.
Sustained aesthetic results.
Why choose ceramic implants from SDS Swiss Dental Solutions?
SDS Swiss Dental Solutions is a highly innovative and quickly growing company dedicated to the field of ceramic dental implants. Founded by the ceramics pioneer Dr. Karl Ulrich Volz, they are experts in the production of ceramic implants. Dr. Johnson has traveled to Switzerland to receive training in ceramic implants and biological dentistry from Dr. Volz and Swiss BioHealth. The Swiss BioHealth Clinic is the leading innovator in immunologically neutral implant restorations. SDS Swiss Dental Solutions offers a wide range of zirconia implants with designs that have been specially adapted in line with the Swiss BioHealth Concepts.
In many cases, immediate implant placement with subsequent immediate restoration is possible. SDS ceramic implants align with the principles of biological dentistry. The metal-free dental implant is the esthetic solution for health that begins in the mouth. Dr. Johnson has placed countless zirconian implants in his patients and is a leader in the field of biological dentistry in the United States.
Titanium VS. SDS Zirconia
The dental practice of Dr. John Johnson, D.D.S.
Dr. Johnson has not placed a mercury filling since leaving dental school more than 30 years ago. We offer our patients metal-free fillings, natural-looking and feeling conservative crown/inlay/onlays and bridges, metal-free partials, superior fitting dentures, root canal extractions, gum grafts, conservative night-guards/bite splints, and sleep apnea appliances.